请输入关键字
top
您现在的位置:
正文
宽街·妙手 | 85%肺压缩!61岁患者深夜命悬一线,多学科协作+微创技术打赢胸部微创攻坚战
发布时间:2025-12-05 作者:普外/肿瘤外科 付深广

深夜,首都医科大学附属北京中医医院的急诊楼里,中西医结合的救治力量正与时间赛跑。普外科/肿瘤外科团队以“西医精准救急、中医辨证调护”为双翼,联合麻醉科、ICU、呼吸科、放射科组建多学科协作团队,凭借胸腔镜微创技术的突破力,为复杂胸科病症患者筑起生命屏障。61岁刘先生(化姓)的救治历程,正是这一诊疗模式的生动实践。

深夜急诊:西医急救与中医安抚的双重守护

刘先生因左肺大泡破裂引发急性气胸,肺组织压迫达85%,吸氧状态下血氧饱和度仅75%,生命危在旦夕。外科二线主治医师徐会超与普外科主治医师冀祯第一时间启动急救流程:快速评估病情、制定胸腔穿刺引流方案,同时融入中医“情志调护”理念,安抚刘先生情绪。

穿刺引流手术顺利完成后,副主任医师于淼主诊组根据刘先生“气滞血瘀”的证型,开具益气活血的中药方剂。当晚,刘先生在引流缓解急症的同时,服用中药汤剂调理脏腑功能,不仅胸闷症状迅速改善,焦虑情绪也明显平复,为后续多学科诊疗奠定了良好基础。“西医救急、中医稳基”的协同模式,让急症救治既有速度,更有温度。

术前攻坚:多学科联合会诊破解“手术密码”

随着刘先生病情稳定,一场关乎手术安全的多学科讨论会(MDT)在普外科/肿瘤外科会议室召开。副主任医师叶晋生牵头,联合麻醉科、ICU、呼吸科、放射科专家围绕患者复杂病情展开深度研判,为手术方案“把舵定向”。

放射科专家分析影像资料后指出,患者右胸巨大直径约8cm,占据右侧胸腔55%,且与肺门血管、胸膜存在多处粘连,术前需标记粘连位置,避免术中损伤血管;左胸术后残余胸膜增厚,可能增加肺复张难度。通过三维重建影像,清晰呈现病灶与周围组织的解剖关系,为手术精准操作提供关键依据。

呼吸科专家则聚焦肺功能评估:患者长期吸烟史导致肺功能中度受损,FEV1(第一秒用力呼气容积)仅为预计值的62%。术前需通过雾化吸入支气管扩张剂改善通气,同时指导腹式呼吸训练,提升术后呼吸耐受度;术后需警惕肺部感染与肺不张风险,建议提前制定抗感染与呼吸康复方案。

麻醉科专家针对手术风险提出应对策略:患者年龄较大且肺功能欠佳,麻醉诱导需采用‘慢诱导、低浓度’方式,避免呼吸抑制;术中需精准控制潮气量与气道压力,防止肺大疱破裂;同时备好纤维支气管镜,若出现气道梗阻可及时干预。此外,术后镇痛方案需兼顾效果与呼吸功能,减少阿片类药物用量。

ICU团队则从术后监护角度补充:患者术后需转入ICU密切观察,重点监测血氧饱和度、气道压力与胸腔引流情况。ICU已备好无创呼吸机与胸腔闭式引流装置,若出现呼吸衰竭或气胸复发,可立即启动抢救流程;同时会配合中医团队,为患者创造安静舒适的康复环境,助力中药调理与针灸治疗顺利开展。

多学科专家提出针对性建议、协同研判,最终确定“单孔胸腔镜下右侧肺大疱切除术”方案,并制定了涵盖术前准备、术中操作、术后监护的全流程风险预案。叶晋生将治疗方案向刘先生及家属做了详细说明,帮患者彻底卸下心理负担,坚定了手术信心。

微创攻坚:胸腔镜技术破解复杂胸科难题

手术当天,叶晋生带领医师付深广,严格按照多学科讨论确定的方案开展手术。单孔胸腔镜技术仅需在患者胸部开一个2-3厘米的小孔,就能完成复杂的肺大疱切除手术,相比传统开胸手术,具有创伤小、出血少、恢复快的优势。

手术中,麻醉科团队实时监测患者生命体征,根据呼吸指标调整麻醉深度;叶晋生在胸腔镜的清晰引导下,对照放射科标记的粘连位置,在狭小空间内精准分离病灶与血管、胸膜的粘连,谨慎处理右胸巨大肺大疱。针对肺大疱基底较宽的复杂情况,利用腔镜切割闭合器械既彻底切除病灶,又最大程度保护肺组织。1小时13分钟后,手术圆满结束,患者术中出血仅5ml,远低于传统手术出血量,麻醉苏醒过程平稳,顺利转入ICU。

from clipboard

from clipboard

切除的肺大疱组织

术后调理:中西医协同加速康复

转入ICU后,多学科协作的康复方案持续发力。ICU团队密切监测患者生命体征,每小时记录胸腔引流量与气道压力,及时调整呼吸机参数,并指导患者进行呼吸功能训练,评估肺复张情况;中医团队则根据患者术后“气阴两虚”的证型,调整中药方剂,加入黄芪、麦冬等益气养阴药材,同时配合针灸刺激肺俞、膻中穴位,促进肺功能恢复。

术后第三天,在多学科团队的共同照料下,刘先生即可下床活动,胸闷、气短等症状完全消失。复查显示,双侧肺组织复张良好,肺功能指标逐步恢复正常。出院时,普外科、呼吸科与中医团队共同为他制定了长期康复方案,指导他通过戒烟、饮食调理、中药巩固与呼吸训练结合,预防肺部疾病复发。

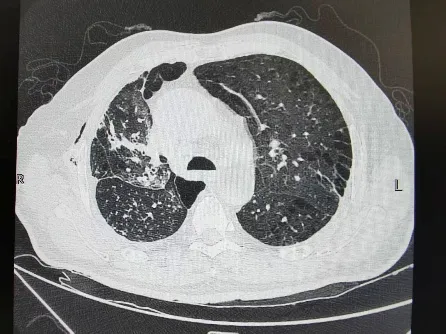
from clipboard

术前肺CT

from clipboard

出院前肺CT

从深夜急诊的中西医协同救急,到多学科联合会诊制定精准方案,再到胸腔镜微创技术破解复杂病灶、术后多科室协同康复,北京中医医院以“多学科协作+中西医融合”的诊疗模式,为胸科疾病患者提供了全方位、全流程的生命守护。不仅彰显了现代医学多学科协作的高效与精准,更体现了传统中医智慧与现代医疗技术融合的独特优势,为更多复杂疾病患者带来了康复希望。

胸部微创治疗专技专术门诊介绍

胸部是人体重要的生命器官集中区域,肺部、食管、纵隔等器官的健康直接关系到呼吸、消化等关键生理功能。胸部微创治疗门诊依托先进的微创技术与中西医结合诊疗理念,为胸部疾病患者提供精准、安全、高效的诊疗服务,最大程度减少手术创伤,加速患者康复,守护您的胸部健康。

门诊诊治范围:精准覆盖胸部常见疾病

门诊聚焦胸部疾病的微创诊疗,针对多种常见且影响生活质量的病症,提供规范化、个性化的治疗方案,具体诊治范围包括:

1.肺部疾病:肺结节(直径5-20mm,尤其是磨玻璃结节、混杂密度结节)、(单发或多发,伴有胸闷、气短症状)、自发性气胸(首次发作或复发,需快速缓解呼吸困难)、早期肺癌(Ⅰ期、Ⅱ期非小细胞肺癌,符合微创手术指征);

2.食管疾病:反流性食管炎(药物治疗效果不佳、伴有严重烧心、反酸)、食管平滑肌瘤(直径<3cm,无明显梗阻症状)、早期食管癌(局限于黏膜层或黏膜下层,无淋巴结转移);

3.纵隔疾病:纵隔囊肿(如胸腺囊肿、支气管囊肿,直径>5cm或引起压迫症状)、胸腺瘤(直径<4cm,无明显重症肌无力症状)、纵隔脂肪瘤(影响纵隔结构或导致胸闷);

4.其他胸部疾病:手汗症(原发性手汗症,严重影响日常生活与社交)、胸部外伤后肺挫伤(伴有少量胸腔积液,需微创引流)、慢性脓胸(病程超过3个月,药物治疗无效)。

中西医结合特色优势:微创治疗+中医调理,疗效更持久

门诊打破传统单一诊疗模式,将现代微创技术与中医辨证施治深度融合,形成“治疗-修复-调理”一体化的诊疗体系,凸显三大核心优势:

1.术前:中医调理,为手术“保驾护航”

针对手术患者术前存在的气血不足、肺脾虚弱、焦虑失眠等问题,通过中医干预改善身体状态,降低手术风险:

对于肺功能较差(如FEV1<60%)的患者,采用“补肺健脾汤”加减(含黄芪、党参、白术、茯苓等),配合针灸(选取肺俞、脾俞、足三里等穴位),改善肺功能,提升手术耐受度;

对术前焦虑、失眠患者,给予“安神定志汤”(含远志、茯苓、龙齿、酸枣仁等),或耳穴压丸(贴压神门、心、交感等穴位),缓解情绪,保证术前睡眠质量。

2.术中:微创技术,减创伤、保功能

采用胸腔镜、纵隔镜等先进微创设备,由经验丰富的胸外科团队操作,实现“小切口、大疗效”:

肺部手术(如肺结节楔形切除术):仅需1-2个0.5-1cm的切口,术中精准定位病灶,避免过度切除肺组织,术后肺功能保留率达90%以上;

食管手术(如反流性食管炎抗反流术):通过胸腔镜精准修复食管裂孔,调整贲门位置,手术时间缩短至1-1.5小时,术中出血量<50ml;

纵隔手术(如纵隔囊肿切除术):借助纵隔镜避开大血管与神经,完整切除囊肿,术后并发症发生率(如气胸、出血)低于5%。

3.术后:中医康复,促恢复、防复发

术后是康复关键期,中医干预可加速伤口愈合、减少并发症,同时调理体质,降低疾病复发风险:

促进伤口愈合:对术后伤口红肿、疼痛患者,外用“生肌玉红膏”(含当归、白芷、血竭等),配合红外线照射,加速肉芽组织生长,伤口愈合时间缩短;

缓解术后不适:针对术后腹胀、便秘(因麻醉或卧床导致胃肠功能紊乱),给予“大承气汤”加减(含大黄、枳实、厚朴等),或穴位贴敷(贴敷天枢、足三里、关元等穴位),恢复胃肠蠕动;

预防复发:对肺结节、胸腺瘤术后患者,长期服用中药及配合中医体质辨识(如气虚质、痰湿质),定制个性化调理方案,降低复发率。

from clipboard

from clipboard

from clipboard