请输入关键字
top
您现在的位置:
正文
宽街·妙手 | 多科协作 持危扶颠——针灸/康复/神经内科连续完成两例“立体定向颅内血肿硬通道穿刺引流术”
发布时间:2022-09-07 作者:针灸/康复/神经内科

近日,我院针灸/康复/神经内科医护人员在麻醉科默契配合以及ICU的协助下,半日内完成两例“立体定向颅内血肿硬通道穿刺引流术”,两位患者目前均已康复出院。

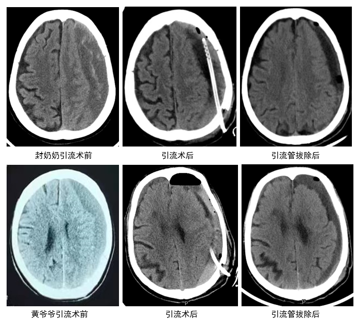
82岁的封奶奶,在我院风湿病科住院期间出现右侧肢体活动不利伴言语不利,头颅CT显示左硬膜下血肿、左大脑受压、大脑镰下疝,科室急请针灸/康复/神经内科刘桂林主任医师会诊,会诊后当即决定转科行手术治疗。

刚刚结束会诊,刘桂林就接到了科室二线手机紧急呼叫,飞快跑向了门诊。72岁的黄爷爷,因“突发右侧肢体活动不利1天”在门诊就诊,刘桂林面诊后,带患者完善头颅CT示左硬膜下血肿,当即决定收入病房行手术治疗。

经详细问诊,两位患者有跌倒史,结合影像检查结果,均诊断为“慢性创伤性硬膜下血肿”,收入病房后,王雪飞副主任医师即带杜鑫主治医师、赵冰骢主治医师两位接诊医师对病人进行细致的神经系统专科查体,并向患者家属交代病情。温雅丽副主任医师紧急联系沟通手术室、麻醉科,医护团队完成术前准备工作。麻醉科主任丁玲玲、护士长文玉琴积极安排手术,刘桂林主刀、王雪飞协助为两位患者顺利完成“立体定向颅内血肿硬通道穿刺引流术”,手术时长均不到1小时,术中出血不到10ml。

术后,针灸/康复/神经内科主任李彬查房,听取病例汇报,了解到患者存在躁动症状,耐心解释病情,安抚患者情绪。同时对患者进行查体,着重围绕四诊情况与主管医生、规培医师及实习医师进行充分的中医辨证分析和讨论,从证法方药层层剖析患者的中医治疗策略。李彬根据患者症状、体征将“慢性硬膜下血肿”归属于中医“中风病”范畴,确立“活血利水”治疗法则,并对患者的中西医诊疗方案进行了调整,为患者开出中药处方。经过中西医结合的强化治疗,患者的病情得到缓解,生命体征趋于平稳,1周后顺利出院。

慢性硬膜下血肿(chronic subdural hematoma,CSDH)是血液集聚在蛛网膜与硬脑膜之间形成的慢性占位性病变,常在头部外伤3周以后形成。其发病率为1/10~13.1/10万人口,随着人口老龄化CSDH的发病率不断升高,80岁以上老年人年发病率可达127/10万人,一般认为由外伤引起。

“立体定向颅内血肿硬通道穿刺引流术”是针灸/康复/神经内科开展的新治疗项目,现已顺利完成近30例。主要针对脑出血、硬膜下出血、硬膜下血肿等疾病。在麻醉科、ICU、导管室及急诊等相关部门的协调和共同努力下,针灸/康复/神经内科针对急性脑血管病现已开展静脉溶栓、动脉溶栓及取栓、脑血管造影及介入治疗、脑出血微创抽吸术、脑出血去骨瓣减压术等神经介入及外科手术。

编辑:宣传中心